当院は研究学園都市に 旧通商産業省 工業技術院が移転を完了した、昭和54年に中央本館内に開設しました。
いつも患者様の立場に立った治療を目指しております。

当院の滅菌機は10分ほどで行えるため、常に器具を安全で清潔に用意しております。

ホワイトニングでは歯の神経や粘膜に刺激の少ない"クリスタルブライトニング法”を使用しております。
1回 ¥7000です。

口腔内をしっかり観察するために光の強いライトを使用しております。
まぶしい時は遠慮せずにお伝えください。

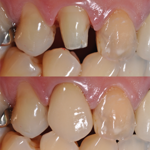
セラミックを使うことでより自然な色を表現できます。